La familia del menor exige explicaciones al jardín infantil La Esperanza sobre cómo ocurrieron los hechos.
Una familia de Chiguayante vive una verdadera pesadilla. Denuncian una presunta negligencia por parte del jardín infantil La Esperanza, luego de que su hijo de un año y tres meses, a quien dejaron caminando en perfecto estado, les fuera devuelto horas más tarde con una grave fractura de fémur, sin que hasta hoy reciban una explicación clara sobre lo que ocurrió.
“¿Qué le pasó a Lucas?”: La angustia de una familia
Todo comenzó la mañana del 7 de julio, cuando Paulina y Carlos dejaron a su pequeño hijo Lucas en el jardín, como cualquier otro día. El niño ingresó al recinto por sus propios medios, sano y sin problemas. Sin embargo, horas más tarde, Paulina recibió una llamada que lo cambió todo. “Mamita, vente rápido porque el Lucas no puede caminar. Estaba jugando en el suelo, el Lucas quiso pararse y no puedo apoyar su pie izquierdo”, le dijo una de las “tías”.
Al llegar, encontró a su hijo en brazos de una asistente, con un llanto inconsolable. Según el relato de la madre, el personal le repitió la misma versión, pero la situación escaló a lo insólito cuando una educadora sugirió que el dolor del niño podría deberse a apendicitis, pese a que el dolor era en la pierna izquierda.
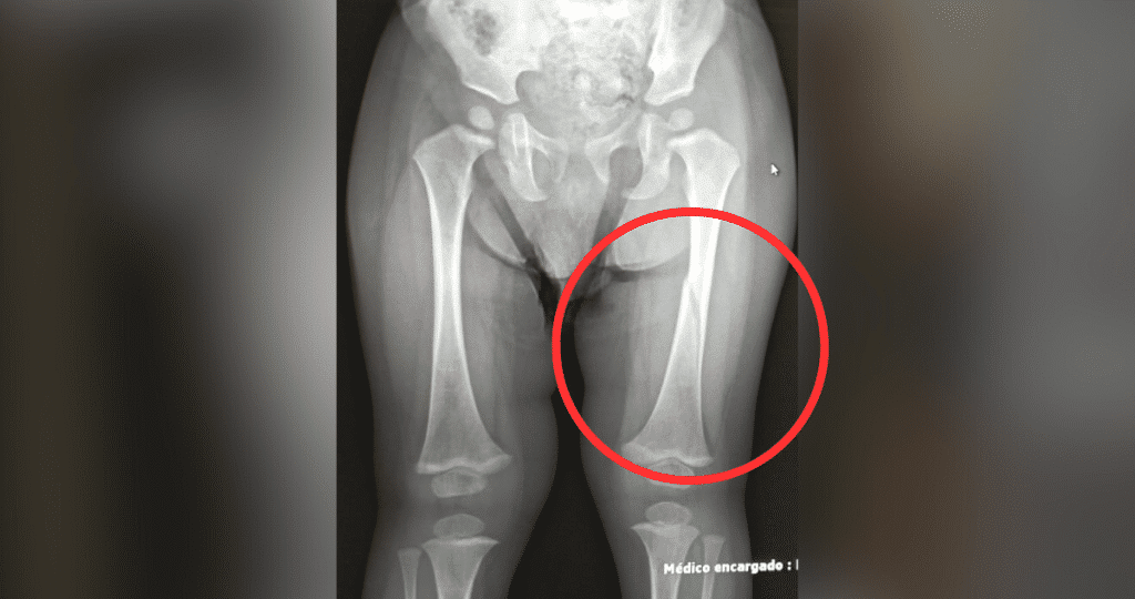
Ante la falta de acción del personal, los propios padres llevaron a Lucas a un SAR de Chiguayante. El diagnóstico fue devastador: fractura de fémur en su pierna izquierda. El pequeño fue derivado al Hospital Regional de Concepción, donde debió ser enyesado desde la cadera hasta el pie y permaneció hospitalizado por tres días.
La denuncia por negligencia contra el jardín de Chiguayante
La familia acusa una serie de irregularidades y un actuar negligente. “Ni siquiera ellos llevaron al Lucas al SAR”, enfatizó la madre. Además, el padre del menor tuvo que regresar al establecimiento para solicitar el seguro escolar, que no le fue entregado en primera instancia.
La indignación de la familia creció cuando una funcionaria les habría insinuado que “en una de esas venía así de la casa”, una afirmación que consideran absurda, dado que el niño llegó caminando al jardín y una fractura de fémur le impediría hacerlo. La principal exigencia de los padres es una sola: saber qué le ocurrió realmente a su hijo.
SLEP Andalién Sur asegura activación de protocolos
Desde el Servicio Local de Educación Pública (SLEP) Andalién Sur, entidad a cargo del jardín infantil, aseguraron que sí se activaron los protocolos correspondientes. A través de un comunicado, informaron que “se realizó la denuncia correspondiente ante Fiscalía y se han tomado todas las medidas contempladas en nuestro reglamento interno”.
El SLEP Andalién Sur agregó que los hechos están en proceso de investigación y que hay un sumario administrativo en curso para determinar responsabilidades.
Acciones legales y una investigación en curso
La familia de Lucas no se quedará de brazos cruzados. Su abogado, Juan Pablo Gallardo, confirmó que ya presentaron una denuncia en la Fiscalía de Chile y que preparan una querella criminal y una demanda civil en contra de quienes resulten responsables.
Mientras la investigación avanza, la familia vive con la incertidumbre sobre las posibles secuelas para Lucas y con una pregunta que aún resuena con fuerza: ¿qué le pasó a su hijo dentro del jardín?
